Featured
Air Under The Diaphragm
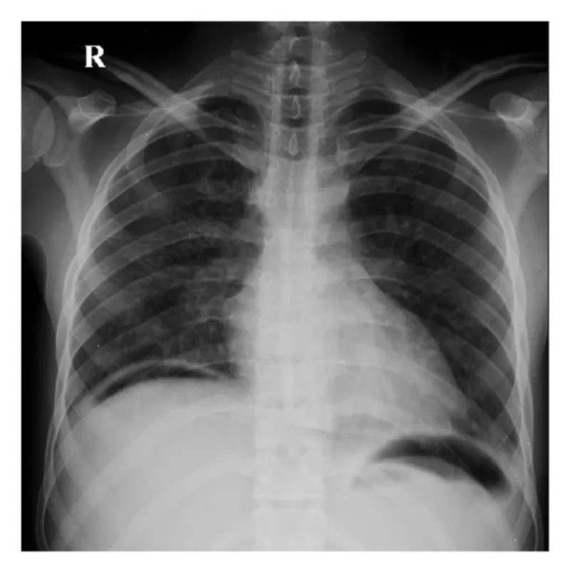
Air Under The Diaphragm. The hepatic flexure and the transverse colon are the most involved segments of the bowel. He had smoked cigarettes for 40 years.

This syndrome is asymptomatic in most individuals; National center for biotechnology information Your reflective note has been saved, and you have now claimed cpd credits for this activity!
This Action Decreases Pressure And Increases The Space In The Thoracic Cavity, Allowing Your Lungs To Expand As You Inhale.
This can mean disruption of the wall of the bowel. Acute abdominal pain with air under the diaphragm is a sign of gastrointestinal perforation and an urgent laparotomy is usually recommended. Breathing exercises can strengthen your diaphragm and keep it working like it should.
Chilaiditi Sign Is A Rare Radiological Finding In Which The Colon Is Interposed Between The Liver And The Abdominal Wall.
We discuss a unique patient who presented with intermittent abdominal pain for 2 years that worsene. In the setting of an upright patient, free air in the peritoneum will reveal itself as crescentic lucency below the diaphragm often because. The presence of air under the diaphragm is a surgical emergency until proven otherwise.
Once Patients Become Symptomatic, The Condition Is Called Chilaiditi Syndrome.
Pneumoperitoneum, usually seen as free air under the diaphragm, is a finding that can be seen on plain abdominal radiographs, signifying a leakage of air, usually from a perforation in the gastrointestinal tract. The diaphragm is a muscle that helps you breathe. This patient had a perforated duodenal ulcer.
Air Will Rise To The Highest Part Of The Abdomen.
Anshu warade free gas under diaphragm. The diaphragm is a sheet of muscle in the chest. This finding usually indicates a rupture of a hollow viscus organ (eg, a gastric, appendicular, or diverticular perforation).
He Had Smoked Cigarettes For 40 Years.
It sits under your lungs and separates your chest cavity from your abdomen. Many conditions, injuries and diseases can affect how the diaphragm works, causing symptoms such as trouble breathing and chest pain. When to suspect hollow viscus perforation acute abdomen presentation.
Comments
Post a Comment